Cosa vuole dire Linfangioleiomiomatosi?
La LAM prende questo nome poiché colpisce diversi tessuti:
La Linfangioleiomiomatosi (LAM) è una malattia rara polmonare idiopatica (senza causa apparente) e multisistemica che colpisce quasi esclusivamente donne in età fertile.
La LAM può portare all’insufficienza respiratoria e, nei casi più gravi, al trapianto polmonare.
Ne esistono due forme:
– LAM associata alla Sclerosi Tuberosa o TSC – patologia genetica a trasmissione autosomica dominante che interessa più organi, tra cui il cervello, i reni, il cuore, la retina e i polmoni; un’elevata percentuale di donne affette da TSC presentano anche una diagnosi di LAM.
– LAM sporadica o isolata con una prevalenza di circa 1/400.000 che si manifesta senza associazione a TSC o ad altra patologia.
Ad oggi la LAM è una malattia orfana e non esiste una terapia medica utilizzabile nella pratica clinica su tutte le pazienti.
Nonostante la LAM sia stata descritta in letteratura nel 1937 da Von Stoessel, ancora oggi le cause restano sconosciute.
La LAM è caratterizzata da una proliferazione incontrollata di cellule muscolari lisce, non cancerose, che invadono il tessuto dei polmoni, delle vie aeree, dei vasi sanguigni e linfatici. Si tratta di cellule che portano alla degenerazione dei tessuti e causano la formazione di cisti con alterazione della delicata architettura del polmone. La lenta, continua e progressiva sottrazione di tessuto sano preposto agli scambi gassosi e quindi alla respirazione, conduce all’insufficienza respiratoria, all’ossigenoterapia e nei casi più gravi al trapianto di polmone.
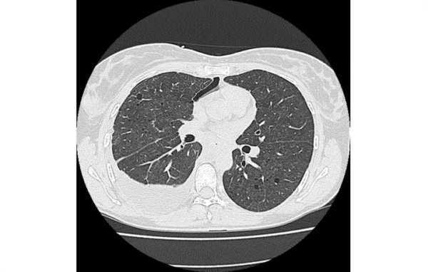
I test utili per diagnosticare la LAM sono la TAC del torace, dell’addome e della pelvi, l’emogasanalisi, gli esami della funzionalità respiratoria. Tuttavia una diagnosi certa si acquisisce soltanto con la biopsia chirurgica.
La diagnosi precoce è spesso difficoltosa perché si confondono i sintomi della LAM con quelli di altre patologie come asma, enfisema o bronchiti.
La sintomatologia può essere subdola per anni fino alla comparsa di dispnea da sforzo che, senza una causa apparente, progredisce lentamente.
Negli stadi iniziali la radiografia dell’apparato respiratorio può essere significativa; negli stadi avanzati i cambiamenti strutturali dei polmoni sono tali da essere evidenti anche come “polmone ad alveare”.
L’esordio clinico è spesso acuto per l’insorgere di complicanze di tipo pleuropolmonare, come emottisi, pneumotorace e chilotorace.
Il 40% delle pazienti presentano angiomiolipomi renali (tumori benigni) che generalmente non alterano la funzione renale, ma in alcuni casi vanno rimossi chirurgicamente o trattati mediante embolizzazione.
Le complicanze che si registrano con maggior frequenza nella LAM sono lo pneumotorace (presenza di aria nello spazio pleurico, con conseguente collasso del polmone e insufficienza respiratoria) spesso recidivante ed il chilotorace (versamento di chilo – liquido linfatico – nel cavo pleurico, creando collasso del polmone e difficoltà respiratoria).
L’emorragia alveolare con emottisi è una evenienza possibile, accanto all’ascite chilosa, alla chiluria, alla chiloptisi ed agli edemi declivi.
Il trattamento chirurgico delle complicanze è spesso multidisciplinare (chirurgia toracica, pneumologia, anatomia patologica, fisiopatologia respiratoria, endocrinologia, biologia, dietologia, genetica) ed è particolarmente laborioso per la difficoltà di ottenere il controllo sulla produzione di linfa nel caso del chilo torace e sulla elevata tendenza alla recidiva nel caso dello pneumotorace.
Poiché tale affezione colpisce giovani donne in età fertile e i sintomi peggiorano rapidamente in caso di gravidanza, è rara in menopausa e si manifesta per lo più in pazienti in terapia ormonale sostitutiva, è stata ipotizzata una potenziale dipendenza della LAM da stimoli ormonali di tipo estrogenico.
Per controllare e rallentare l’evoluzione della malattia è stata proposta la castrazione chirurgica (ovariectomia) o farmacologica (analoghi ormonali), con risultati contrastanti.
Attualmente sono in corso alcuni studi clinici sull’utilizzo della rapamicina e suoi derivati (farmaci chemioterapici). Dal 2015 la La Food and Drug Administration (FDA) ha approvato Sirolimus per il trattamento della LAM. È il primo farmaco approvato per il trattamento di questa patologia.
Il trapianto di polmone può essere indicato nelle fasi finali della malattia, nei casi più gravi di LAM quando l’insufficienza respiratoria è incompatibile con la vita.

